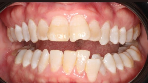
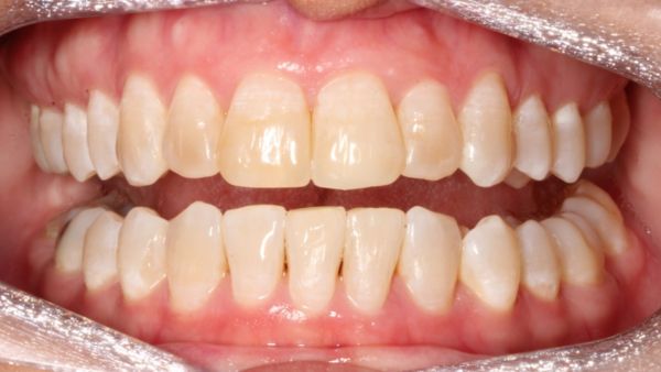
Nuestros pacientes cuentan abiertamente su experiencia con sus tratamientos en IOC
CLÍNICAS 100% CANARIAS
Cuidamos de las sonrisas en Canarias desde 2005.
Hemos crecido gracias a la confianza de nuestros pacientes, que nos han convertido en el mayor grupo de clínicas dentales privadas no franquiciadas 100% canarias y en líderes en implantología, ortodoncia y estética dental.
TESTIMONIOS
Nuestros pacientes cuentan abiertamente su experiencia con sus tratamientos en IOC
ODONTÓLOGOS ESPECIALIZADOS
EL EQUIPO
Conoce al equipo de odontólogos especializados en cada tratamiento de IOC Clínica Dental.
Contacta ahora y pide cita, obtendrás toda la información sobre el tratamiento que necesitas para decidir mejor
PIDE CITASolicita tu cita ahora
PIDE CITA













