Implantes y dientes fijos en 24h

La alternativa a la dentadura postiza
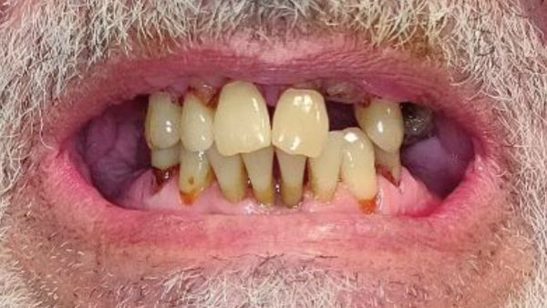
Implantes y dientes fijos en 24h

Con el tratamiento IOC | Oneday4 es posible sustituir todos los dientes con solo 4 implantes y lucir dientes fijos en 24 horas.

Doctor:
Dr. Zenón Sosa
Especialidad/es: