Una historia real de cambio: sin dolor, sin miedo y con resultados inmediatos en nuestra clínica dental en Vecindario
En IOC Clínica Dental, referente como clínica dental en Las Palmas y una de las mejores opciones entre los dentistas en Gran Canaria, creemos que cada sonrisa puede cambiar una vida. Hoy te contamos la historia de Francisco, un paciente que durante años evitó acudir al dentista por miedo y dejadez, hasta que su salud y bienestar se vieron seriamente afectados.
Su alimentación, su seguridad al sonreír y su estado emocional empezaron a deteriorarse. Fue entonces cuando decidió buscar una solución eficaz, segura y rápida. Así llegó a IOC Clínica Dental, donde encontró un equipo que le escuchó, le entendió y, sobre todo, le ayudó a perder el miedo.
Cuando posponer al dentista afecta a tu salud
Muchos pacientes que buscan dentistas en Las Palmas o dentistas en Santa Cruz de Tenerife comparten una historia similar: el miedo al dentista les lleva a retrasar tratamientos importantes. En el caso de Francisco, esto terminó afectando no solo a su sonrisa, sino también a su capacidad para comer con normalidad y a su bienestar general.
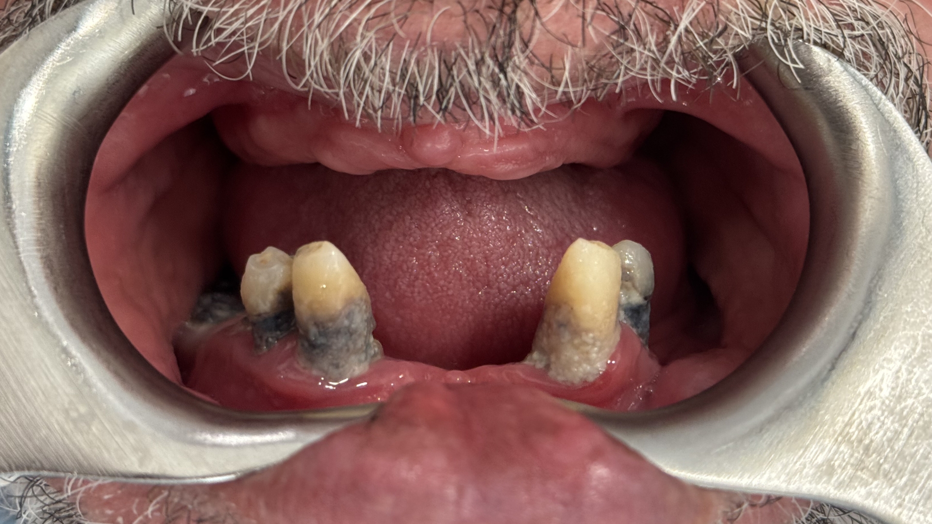
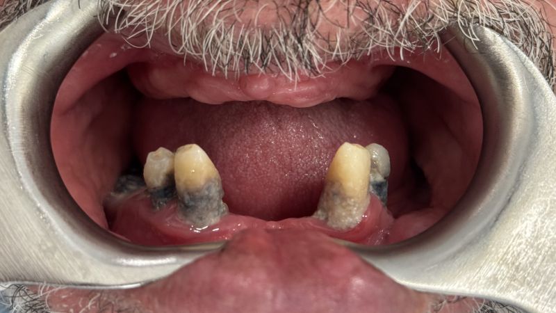
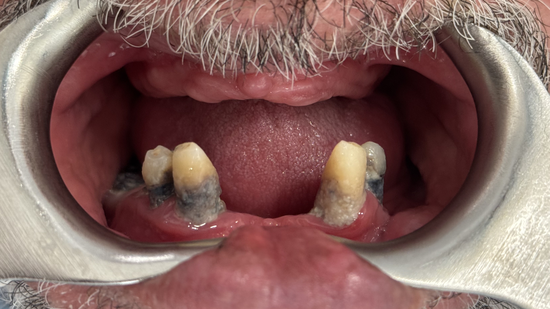
Implantes dentales y dientes fijos en 24 horas: una solución eficaz
En IOC Clínica Dental, especialistas en implantología avanzada entre los dentistas en Gran Canaria, ofrecemos tratamientos de implantes dentales y dientes fijos en 24 horas. Gracias a esta técnica, Francisco pudo recuperar su sonrisa en un solo día, mejorando tanto la estética como la funcionalidad de su boca.
La Dra. Khadi, especialista en implantes dentales, explica cómo cada caso se estudia de forma personalizada mediante tecnología digital avanzada, lo que permite obtener resultados precisos, rápidos y duraderos.
Sedación consciente: clave para superar el miedo al dentista
Uno de los aspectos más importantes para Francisco fue la posibilidad de realizar el tratamiento con sedación consciente. Este servicio, cada vez más demandado en clínicas dentales en Canarias, permite a los pacientes vivir la experiencia de forma relajada y sin ansiedad.
Francisco nos cuenta cómo fue su experiencia: se sintió tranquilo durante todo el procedimiento, no tuvo dolor y pudo afrontar el tratamiento con total confianza. Para él, este fue el punto de inflexión que le permitió dar el paso.
Un cambio real en su vida
El cambio de Francisco no ha sido solo estético. Tras su tratamiento en IOC Clínica Dental, ahora come mejor, se siente más seguro y ha recuperado su bienestar físico y emocional. Hoy sonríe más y vive con mayor confianza.
Esto es lo que buscamos en nuestra clínica dental en Las Palmas: no solo mejorar sonrisas, sino mejorar vidas.
IOC Clínica Dental: tu clínica de confianza en Canarias
Si estás buscando dentistas en Las Palmas, dentistas en Gran Canaria o incluso referencias de calidad entre los dentistas en Santa Cruz de Tenerife, en IOC Clínica Dental encontrarás un equipo especializado en tratamientos avanzados, sin dolor y adaptados a cada paciente.
Recupera tu sonrisa sin miedo
Como Francisco, tú también puedes dar el paso. Si llevas tiempo evitando ir al dentista, te ayudamos a hacerlo de forma cómoda, segura y sin dolor.
Descubre su testimonio completo y cómo ha cambiado su vida gracias a los implantes dentales en 24 horas.




