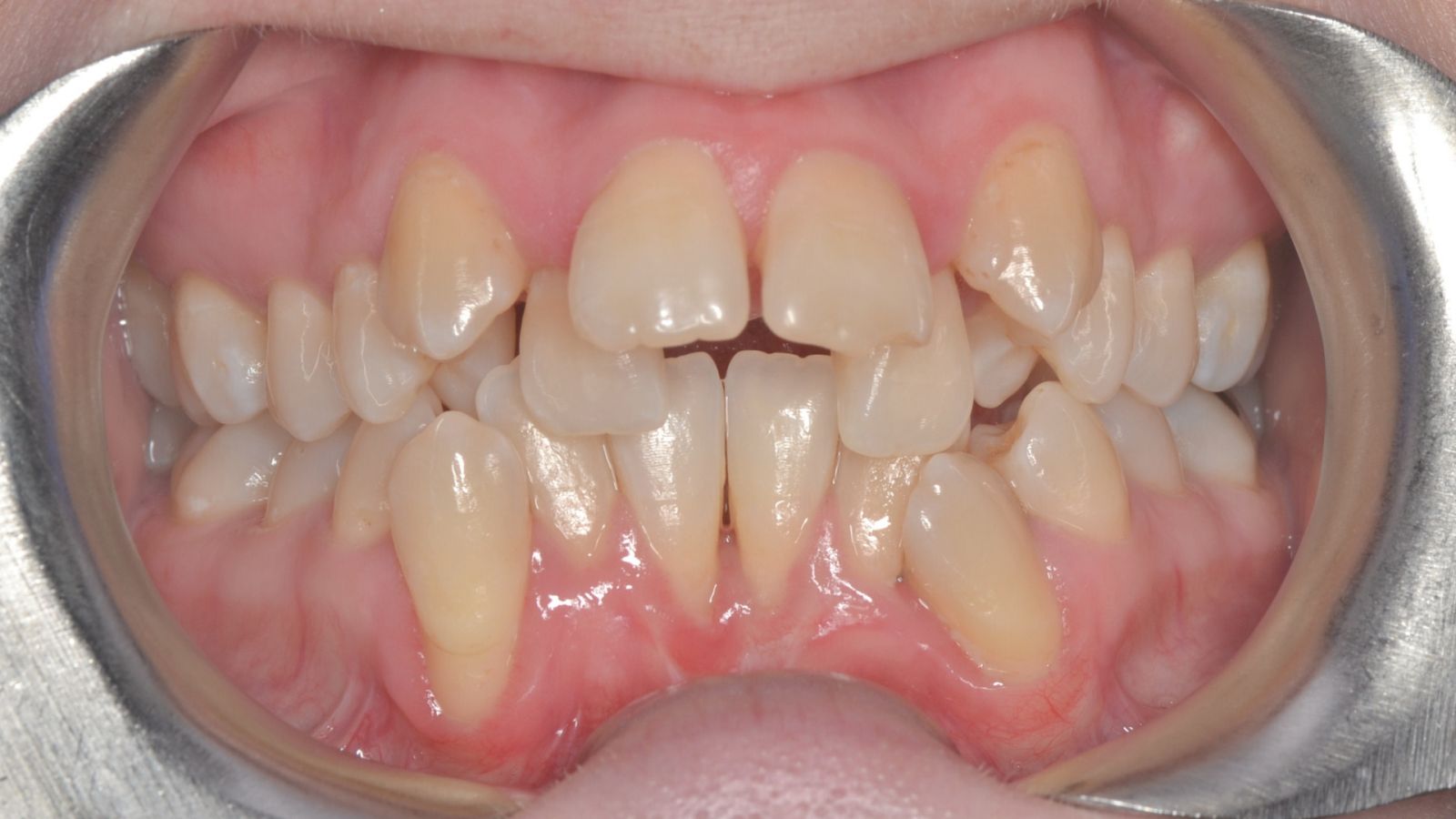
Tratamiento de ortodoncia invisible y reconstrucción estética. Logramos recuperar la armonía de su sonrisa y corregir el apiñamiento dental mediante un tratamiento discreto y cómodo, que le permitió continuar con su vida diaria con total confianza.
Utilizamos cookies y tecnologías similares propias y de terceros, de sesión o persistentes, para hacer funcionar de manera segura nuestra página web y personalizar su contenido. Igualmente, utilizamos cookies para medir y obtener datos de la navegación que realizas y para ajustar la publicidad a tus gustos y preferencias. Puedes configurar y aceptar el uso de cookies a continuación. Asimismo, puedes modificar tus opciones de consentimiento en cualquier momento visitando nuestra Política de Cookies y obtener más información haciendo clic en: Política de Privacidad