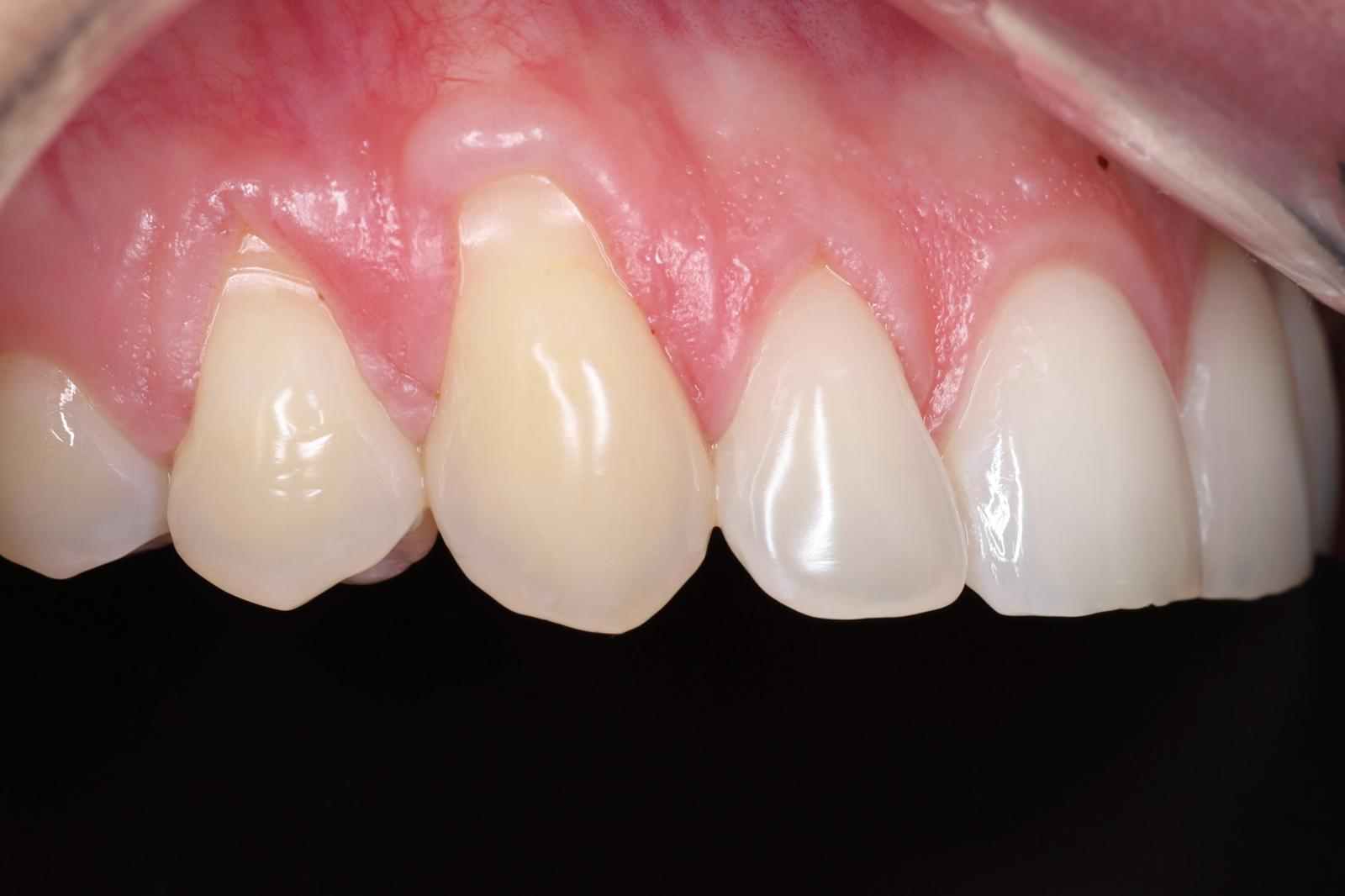
En IOC Clínica Dental tenemos la solución para devolverle salud y estética a tu sonrisa. La cirugía mucogingival mínimamente invasiva es un tratamiento efectivo para el recubrimiento de encías retraídas.
Utilizamos cookies y tecnologías similares propias y de terceros, de sesión o persistentes, para hacer funcionar de manera segura nuestra página web y personalizar su contenido. Igualmente, utilizamos cookies para medir y obtener datos de la navegación que realizas y para ajustar la publicidad a tus gustos y preferencias. Puedes configurar y aceptar el uso de cookies a continuación. Asimismo, puedes modificar tus opciones de consentimiento en cualquier momento visitando nuestra Política de Cookies y obtener más información haciendo clic en: Política de Privacidad